予防歯科メニュー
インプラントとは
今までは歯を抜いてしまったら、そのままになっていた部分に、「インプラント」という人工の根を埋め込んで、歯を元の形に戻せるようになってきました。
インプラントは、歯を抜いた後の歯肉の部分から、金属製の人工の根を骨に固定するように埋め込みます。この人工の根の上に歯に見える形のものを取り付ける治療法です。使用されている金属はチタン製が多く使われています。
最近のインプラント治療は、ほとんどがシステム化されていてます。さまざまなタイプのインプラントシステムがありますが、それぞれに特徴があります。1本のインプラントで一つの歯を作ることはもちろん、複数のインプラントを繋ぎ合わせることで、ブリッジを作り3本以上の歯を作ることも出来ます。
![]() |
【 治 療 前 】 歯を抜いた箇所に金属の人口歯根を埋め込みます。この金属は耐蝕性に優れたチタンを使用しますので、サビが発生するようなことはありません。 |
![]() |
【 治 療 前 】 治療前をレントゲンで撮影した写真です。金属の人口歯根が埋められてるのがよくわかりますね。 |
![]() |
【 治 療 後 】 もう肉眼では元の歯と区別がつきませんね。もちろん、隣の歯を削ることなく歯を入れますので隙間が出来ることもありません。 |
![]() |
【 治 療 後 】 治療後をレントゲンで撮影した写真です。しっかり固定されているのがおわかりになると思います。 |
![]() |
【 治 療 前 】 75歳の女性、十数年ぶりに来院されました。昔に入れたブリッジ数箇所が寿命になり今にも外れそうな状態で来院されました。 |
![]() |
【 治 療 後 】 入れ歯かインプラントを提案し、ご本人は、入れ歯はお嫌だとの事でインプラントで歯を作ることになりました。だめな歯はインプラントを埋入して前歯もご本人の希望でインプラントブリッジとラミネートべニアで美しく歯の機能も回復しました。今まで、グラグラのブリッジで生活されたいたので、今では何でも召し上がっていただけ 今まで以上にお若い印象になりました。 |
インプラントの特長
● メリット
・抜いた部分が元のように戻る
抜いた後、そのままにしていた部分に金属の根を埋め込み、抜く前のような歯の形を取り戻すことができます。
・歯を削らなくて済む
普通の治療法では、歯を1本抜くと、その抜いた両端の歯を削って「ブリッジ」と呼ばれるものを作り被せますが、インプラントでは両端の歯を削らずに抜いた部分だけに歯を入れることができます。
・入れ歯がいらなくなることもある
インプラントは歯がない部分に新しい歯を作ることができるので、従来では入れ歯でしか対応できなかった場合でも、自分の歯のように作る事ができることもあります。
・しっかり咬める
入れ歯では、歯肉の上に力がかかるのどうしてもふわふわした感触になりがちですが、インプラントは骨に直接埋め込むため、自分の歯のようにしっかりと咬む事ができます。
● デメリット
・自己管理が問われる
人工歯根だからといって、歯を磨かなくても良いわけではなく、インプラントは構造上、天然の歯よりしっかり磨かなければなりません。
・骨に金属を埋め込まなければならない
骨に人工歯根を埋め込むための手術をしなくてはなりません。また、しっかりと骨に埋め込まれているため、外そうと思っても入れ歯やブリッジのように簡単には外すことはできません。
・治療費が高額になる
インプラント治療は保険でカバーされないため、歯科の自費治療の中でも高額(1本で20万〜50万円程度)になります。ですので歯の本数が増えると費用もかさみます。
・全身的な疾患がある方には適さないこともある
インプラント治療をする前には、まず全体の歯周病を治療しておかなくてはなりません。また喫煙、糖尿病や骨粗しょう症などのケースでは、問題を起こすリスクが高くなります。
■ インプラントの基本的な流れは次の通りです。
![]() |
![]() |
![]() |
![]() |
![]() |
| 抜歯後 | 抜歯後(レントゲン) | インプラント埋入 | 埋入後(レントゲン) | 縫合後 |
![]() |
![]() |
![]() |
||
| アバットメント装着 | 装着後(レントゲン) | クラウン装着 |
■ インプラント手術の基本的な流れは次の通りです。
![]() |
![]() |
![]() |
![]() |
![]() |
| インプラント構造 | インプラント構造(解説) | ドリル | インプラント埋入後 | アバットメント装着 |
![]() |
![]() |
![]() |
||
| アバットメント装着後 | クラウン装着 | インプラント手術完了 |
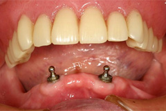
インプラントによる入れ歯固定
下の歯が残り少なくなったり、無くなると、入れ歯が動いてガタガタし、堅いもの、歯ごたえのあるものが食べられなくなり、好きなものが食べられなくて、「もう、、いいわ。 やわらかいものだけにしとこう・・・」とあきらめの街に住んでしまっていませんか?
そんな方にご満足頂いているのが、インプラントデンチャーです。下の歯茎にインプラントを二、三本埋入ます。入れ歯を作って入れ歯には穴を開けておきます。インプラントで歯茎から支えが出るのでそこに入れ歯の穴をカチッとはめ込みます。これで、カギホックのような要領でカチッとするので入れ歯は動きません。
この入れ歯は自費になりますが、満足度が非常に高く、こちらも友達に紹介される方が多いです。すでに入れ歯を長年経験されている方は、インプラントですべての歯を作るより、こちらのほうが治療期間も短く、年齢が高い方でも負担無いので人気です。患者様の声では「とうもろこしを丸かじり出来るようになった!」「漬物を細かく刻まずにこりこり食べられる!」 「海外や外食で困ることが無くなった!」と喜びの声を頂いております。
![]() |
|
![]() |
|
![]() |
|
![]() |


























